We're open as normal and you can view our COVID-safe information here.
See the difference for yourself!
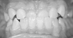
Take a look through these real patient images to see what our dentists are capable of. If you see something that inspires you, let us know! Book a visit today to schedule a free consultation where you can learn more about implants, braces or smile makeovers.


Quad helix (fixed expansion appliance), fixed appliances and retainers


Extractions, fixed appliances and retainers


Removable bite plate, fixed appliances and retainers


Extractions, functional appliances, fixed appliances and retainers


Removable appliance (elsa), fixed appliances and retainers


Quad helix (fixed expansion appliance), fixed appliances and retention


Removable appliance, fixed appliances and retention


Functional appliances, fixed appliances and retention


Removable bite plate and fixed applicances


Invisalign and long term retention


Invisalign and long term retention


Had a tooth extracted under sedation this morning. I was extremely anxious beforehand. Each and every member of the team was lovely, putting me at ease and being kind and understanding. A special mention to the anaesthetist who went the extra mile to put me at ease. The dentist did a great job...quick and painless. An all round positive experience. I would not hesitate to recommend this service. Thanks again 👍

Call us at the location closest to you or book your free initial consultation online today!
Feeling nervous? Dental anxiety is more common than you might think. Don't worry; our dentists are gentle and we work very well with nervous patients.
information for nervous patientsThe Mount Dental Practice
53 Wakefield Road
Ackworth
WF7 7AA
The Mount Dental Practice
1 Highfield Road
Hemsworth
WF9 4DP
The Mount Dental Practice
25 Mill Lane
Ryhill
WF4 2AL
The Mount Dental Practice
39-41 Peterson Road
Wakefield
WF1 4DU